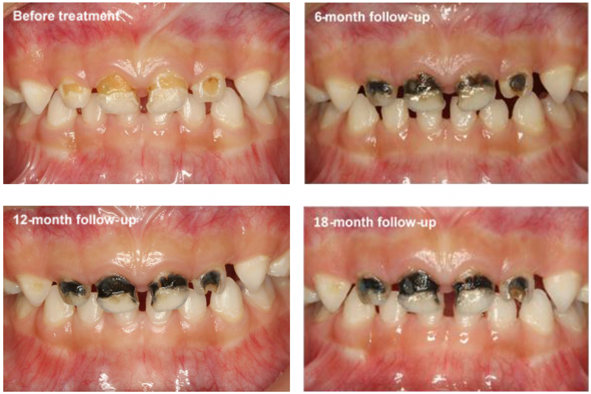
Dental caries or cavities, more commonly known as tooth decay, are caused by a breakdown of the tooth enamel. This breakdown is the result of bacteria on teeth that breakdown foods and produce acid that destroys tooth enamel and results in tooth decay.
Although dental caries are largely preventable, they remain the most common chronic disease of children aged 6 to 11 years and adolescents aged 12 to 19 years. Tooth decay is four times more common than asthma among adolescents aged 14 to 17 years. Dental caries also affects adults, with 9 out of 10 over the age of 20 having some degree of tooth-root decay
